HISTOLOGIA90
IMAGENS DE HISTOLOGIA E HISTOPATOLOGIA - CENTRO UNIVERSITÁRIO MUNICIPAL DE FRANCA - Uni-FACEF
quarta-feira, 14 de junho de 2017
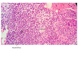
MENINGITE, CORAÇÃO E PATOLOGIAS CARDÍACAS
Profa. Maria Antonia Noventa
Nenhum comentário:
Postar um comentário
Postagem mais recente
Postagem mais antiga
Página inicial
Assinar:
Postar comentários (Atom)
Nenhum comentário:
Postar um comentário